Marcel Hirscher a suferit o accidentare la Red Bull Romaniacs
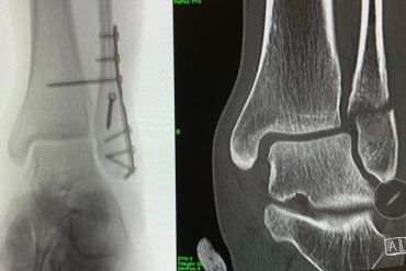
Marcel Hirscher, austriacul cu un palmares legendar în schiul alpin, s-a accidentat și nu mai poate continua la Red Bull…
Marcel Hirscher, austriacul cu un palmares legendar în schiul alpin, s-a accidentat și nu mai poate continua la Red Bull…
„Vertical Madness Reloaded“, cea de-a 18-a ediție Red Bull Romaniacs, a debutat marți și se desfășoară până sâmbătă, 31 iulie….
Cea de-a patra ediție a Cea1 Borsec Festival va avea loc în perioada 30 iulie – 1 august. Evenimentul va…
Salut și o săptămână plină de motive să zâmbiți vă doresc! Am avut o săptămână puțin mai liniștită din punct…
Drumul care unește, Via Transilvanica, a ajuns la 1077 km. Sâmbătă, Tașuleasa Social a inaugurat, la Gărâna Camping, drumul de…
Florin Nechita, colaborator Ski&Outdoor Magazine, vrea să cucerească vârful Lenin (7134 m), cel mai mare vârf din munții Pamir. El…
Meteorologii au emis noi avertizări cu cod galben şi portocaliu de ploi abundente şi vijelii, valabile până miercuri seara. Sunt…
Săptămâna această a început cu multe ploi dar soarele se anunță spre sfârșitul ei așa că sper să ne vedem…
Cosmin Candoi a câștigat medalia de aur la Cupa Mondială de Paraclimbing din Briançon, Franța, în timp ce Căpitanul Lotului…